CCL Tears

Treatment Options

When a pet is diagnosed with a Cranial Cruciate Ligament (CCL) injury, the road ahead can feel overwhelming. Education is the first step toward healing.

Below is a look at the treatment options we offer in West Fargo, ranging from conservative management to advanced surgical and regenerative solutions.

Pain relieving medications are a must for any dog with a CCL injury, available from Two Rivers Vet Hosp here in Fargo.

~$50-100/month

Multimodal Pain Management

The moment a ligament fibers stretch or tear, the body initiates an inflammatory cascade. This isn't just soreness; it is a chemical reaction that, if left unchecked, begins to degrade the surrounding cartilage and bone. At the very least, every pet with a CCL injury requires a structured pain management protocol to control the pain associated with this cycle.

We utilize a multimodal approach, meaning we use different types of medications to target pain from multiple angles. This typically includes non-steroidal anti-inflammatory drugs (NSAIDs) to reduce swelling, coupled with neuropathic pain modifiers that quiet the overactive pain signals traveling to the brain. Our goal is to keep your pet comfortable enough to engage in controlled movement, which is vital for maintaining muscle mass and joint lubrication.

Activity restriction is important while the body trys to stabilize the joint with scar tissue. Avoid running, jumping (even up onto the couch or bed), and quick turns.


Assistive devices like the Help-Em-Up harness can be helpful for dogs with mobility issues, such as a torn CCL. These can be picked up locally at Two Rivers Vet Hosp in Fargo..

~$40-400

Assistive Devices

Supporting a 70-pound dog with a painful limb can be physically demanding for both the pet and the owner. Assistive devices are not just accessories, they are medical tools that prevent compensatory injuries (injuries to the back or the good leg caused by shifting weight). By providing external stability, we can prevent a partial tear from becoming a complete rupture during the initial healing phase.

We specifically recommend the Help-Em-Up Harness, which features handles at the shoulders and hips, allowing you to lift your pet evenly without putting pressure on their joints.

For pets struggling with slick floors, ToeGrips provide much-needed traction.

For our most active patients, a Walkin’ Wheels or K9 Carts wheelchair allows for protected exercise, letting the pet sniff and explore the outdoors without placing any weight-bearing stress on the injured stifle.


Patients of all ages can enjoy the low-impact and strengthening benefits of the underwater treadmill with an injured CCL here in Fargo.

~$1000 for 8 weekly sessions

Canine Rehabilitation & Strengthening

Canine rehab is the physical therapy of the veterinary world. When a CCL is injured, the quadriceps and hamstring muscles quickly begin to atrophy because your dog offweights the leg. These muscles help stabilize the knee, and their weakening actually makes the injury worse.

Our rehab programs focus on targeted strengthening. Through specific exercises, we help the body build a kind of muscular brace around the joint. This is an ideal path for smaller dogs, senior pets with other health concerns, or calm patients who can follow a strict controlled-loading program. By increasing the strength of the surrounding soft tissue, we can often provide enough stability for a pet to return to a high quality of life without invasive intervention.

We usually start with 8 weeks of hour-long weekly sessions that will involve photobiomodulation (laser therapy), use of hydrotherapy, and controlled exercises to incorporate into your pup’s daily life with the intention of gently retraining those muscles.


Platelets are concentrated in platelet-rich plasma, and when injected into an area of inflammation, release potent healing factors to reduce pain and initiate a temporary healing cascade.

~$1000 for 4-5 treatments of both knees

Platelet-Rich Plasma Injection Series

For many pet parents, surgery isn't always the first or most viable option due to a pet's age, medical history, or financial considerations. In these cases, Platelet-Rich Plasma (PRP) therapy offers a powerful, minimally invasive tool to manage the pain and inflammation associated with a CCL tear. While PRP doesn't repair damaged tissue like stem cells can, it acts as a concentrated healing boost derived directly from your dog’s own blood. By injecting these potent growth factors into the joint, we can significantly quiet the inflammation, allowing your pet to move more comfortably and reducing their reliance on daily pain medications for months at a time.

We find that PRP is most effective when paired with a canine rehabilitation program. While the PRP tackles the internal pain and swelling, rehab works to strengthen the supporting muscles around the stifle joint. It’s a team approach to stability that is exceptionally well-tolerated by senior dogs and patients who cannot undergo anesthesia. The process is simple: we perform a single blood collection (pro-tip: add some extra water to your dog's food that morning to ensure they are well-hydrated), concentrate the platelets through a series of reagents and centrifugation, and then inject the PRP where it’s needed most. Because the procedure is so quick, many of our patients don't require sedation.

After the initial collection and processing, any leftover PRP is stored right here in our clinic. We typically collect enough PRP to perform 4 to 5 treatments, with injections occurring every other week until the supply is used. This consistent injection rate of growth factors helps maintain a steady anti-inflammatory environment in the joint. Because the PRP expires after 90 days, this scheduled series ensures your pet receives the maximum benefit while the cells are at their most potent.

It is important to remember that while the relief from PRP can last up to six months, the effects are not permanent, and the series can be repeated as needed based on your dog's comfort levels. To ensure the best results, we ask that you restrict your pet's exercise for the first week after each injection; this gives the PRP time to settle in and start working exactly where it’s needed most. If you are looking for an effective, budget-friendly way to keep your dog active and comfortable without the recovery time of surgery, PRP may be the perfect fit for your family.


Stem cells are injected into a small bag of IV fluids as well as into each knee during each regenerative medicine treatment. These IV stem cells target any inflammation outside of problematic joint(s).

~$3500 to treat both knees

Stem Cell Therapy: The Regenerative Powerhouse

Stem cell therapy is a great option to consider for CCL injuries. Using Ardent Animal Health’s technology, we harvest your pet’s own "repair cells" and inject them directly into the injured joint. This is particularly helpful for partial tears, as the stem cells work to down-regulate the chronic inflammation that would otherwise cause the rest of the ligament to fail. Full tears are also candidates for treatment, but we’ll have a discussion at your consultation to discuss the limitations of stem cell therapy and what to expect for your pup’s recovery.

We have treated both partial and full tears (including those with meniscal injury) with notably improved long-term function and comfort. Yes, even in the big dogs. Every dog’s disease progresses differently, and a single injection—while beneficial—will not treat your dog for life. Your dog will likely start showing signs of pain and limping again in a couple of years. Fortunately, stem cells can be banked for future use, allowing us to perform multiple follow-up injections, if needed.

The primary benefit of stem cell therapy is that it treats the biological disease of the joint. While surgery fixes the mechanical "swing" of the knee, it doesn't stop the arthritis that all CCL patients eventually experience; stem cells do. Furthermore, we can treat both knees at the same time—a major advantage for the 60% of dogs who eventually tear the second side. However, because these cells take time to reprogram the joint environment, activity control is still mandatory to allow the biological healing to take place.

Recovery involves on-leash activity for about one month, with a gradual increase to off-leash activity over the next two to three months. We will send home information for exercises to have your pup do at home during this time, and following up several sessions in the underwater treadmill is helpful, as well.


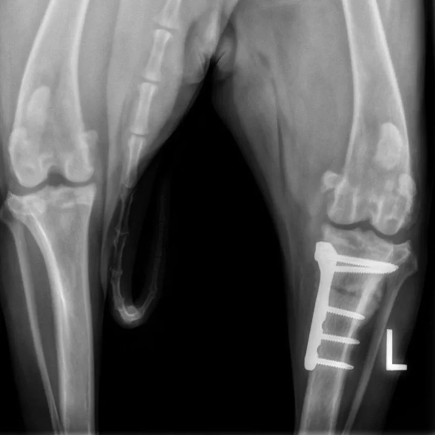
The plate and screws required to stabilize the bone after a tibial plateau leveling osteotomy (TPLO) are easily visible in a radiograph.

~$5000 per knee

TPLO Surgery: Mechanical Stabilization

The Tibial Plateau Leveling Osteotomy (TPLO) is widely considered the gold standard for large, active, or young dogs with complete CCL ruptures. The surgery involves a precise radial cut in the tibia to rotate the slope of the bone, effectively neutralizing the force that causes the femur to slide backward. Once the bone is stabilized with a specialized plate and screws, the ligament is no longer needed for the dog to walk normally.

TPLO has a high success rate, with most dogs returning to full athletic function within 4-5 months. At Two Rivers, we emphasize that surgery is only the first half of the journey; the second half is a 10-week post-op rehab period. We strongly recommend a professional rehab package starting the week of surgery to ensure the bone heals correctly and the muscles regain their full strength. This includes photobiomodulation therapy, injectable joint care with Adequan, weekly sessions in the underwater treadmill, and both an in-clinic and at-home exercise regimen. This helps ensure that your dog will be ready for off-leash activity after those 10 weeks without a decline in muscle and bone health.

While highly effective, we do discuss long-term monitoring for breeds predisposed to bone tumors, as any metallic implant carries a statistically small but noted risk for developing osteosarcoma.


Dogs fully recovered from a CCL injury with the help of surgery and stem cell therapy in Fargo can return to normal adventures.
~$7500 for TPLO and stem cell collection, a post-op rehab package, and injection of stem cells into both knees during a recheck appointment

Getting Your Dog’s Feet Back Under Them: The Gold Standard

At Two Rivers Veterinary Hospital, we don’t believe you should have to choose between surgical stability and biological healing. In fact, the most successful recoveries we see are those that utilize a "layered" approach. Choosing one treatment path doesn't preclude your pet from another; rather, these therapies work in harmony to address different aspects of a CCL injury.

Our "Best Case Scenario" for a patient with a CCL tear often involves a combination of every tool in our medical chest:

  • TPLO Surgery: To provide immediate mechanical stability.

  • Regenerative Medicine: To combat long-term arthritis and trigger tissue repair.

  • Canine Rehab: To strengthen the soft tissues and muscles that support the joint.

  • Multimodal Pain Relief & Assistive Devices: To ensure comfort and safety throughout the healing process.

The TPLO + Stem Cell Synergy

If you are pursuing a TPLO surgery for your pet, adding stem cell therapy is the best way to protect their long-term mobility. While the surgery fixes the mechanical swing of the knee, it cannot stop the inflammatory process of arthritis that begins the moment a ligament is injured.

At Two Rivers, we typically collect the abdominal fat at the time of the TPLO and perform stem cell injections at the 10-week post-operative recheck. This is the same appointment where we take follow-up radiographs to confirm the bone has healed. By introducing potent regenerative cells at this stage, we clear out the residual inflammation from the injury and surgery, providing a biological shield for the joint as your pet returns to full activity. If you want a solution that gets your dog back on its feet and protects them from chronic joint pain years down the road, this combined approach is the right choice for your family.


FAQs

  • If you notice your dog holding a hind leg up, "toe-touching" while walking, or sitting with one leg out to the side (the "lazy sit"), these are common red flags. However, the only way to confirm a tear is through a veterinary exam. At Two Rivers, we perform specific orthopedic tests, such as checking for a cranial drawer or tibial thrust, which identify the characteristic instability of a CCL injury. We may also recommend digital radiographs to look for joint effusion or early signs of arthritis.

  • The sooner, the better. Many CCL injuries begin as partial tears that cause intermittent lameness. Intervening early allows us to use regenerative options like stem cell therapy to calm inflammation and support the remaining ligament fibers. This can often prevent a partial tear from progressing to a full rupture, potentially avoiding the need for more invasive bone surgery altogether.

  • While braces seem like a simple fix, they are rarely our first recommendation. To be effective, a brace must be custom-molded to your dog's leg; off-the-shelf versions often slip and don’t provide adequate support, and they can cause painful dermatitis and skin chafing. Furthermore, a brace only provides support while it is physically on the dog. By the time you factor in the cost of professional measuring, fitting, and multiple refitting appointments, the price is often comparable to surgical options. We generally only recommend exploring custom bracing—such as those through OrthoPets—for patients who are not surgical candidates due to other serious health complications.

  • The first 24 hours can be the most challenging for pet parents. It is common for dogs to experience dysphoria—a state of confusion or restlessness as the anesthesia and heavy pain medications wear off. Your dog may whine, pant, or have trouble settling. We usually suggest that owners take the following day off work to assist with mobility. While many owners call us exhausted the next morning, rest assured that most dogs feel significantly better by the end of that first day, with dramatic improvement usually seen by the end of the first week.

  • Ironically, the hardest part of TPLO recovery starts after the first week! Once the initial surgical soreness fades, your dog will feel like they can run and jump again—but the bone is still healing. It is vital to use crates, exercise pens, light sedatives, and the Help-Em-Up Harness to restrict activity. This is where a "boredom-busting" plan involving puzzle toys and mental stimulation becomes your best friend.

  • Statistics show that many dogs who tear one CCL will eventually tear the other. To reduce this risk, we focus on four pillars:

    • Weight Management: Keeping your dog lean is the single most important factor in reducing joint stress.

    • Consistent Exercise: Avoid "weekend warrior" activity; aim for steady, year-round exercise.

    • Rehabilitation: Professional rehab builds the core and hind-limb strength needed to support the joints.

    • Joint Support: We often recommend Adequan® Canine injections, which help proactively manage cartilage health and joint lubrication.

  • Absolutely. This is our Gold Standard approach. By combining the mechanical stability of a TPLO with the biological healing of Stem Cells (typically administered at the 10-week recheck), we address the injury from every possible angle. This ensures your dog doesn't just return to walking, but does so with a joint that is protected against the long-term fire of arthritis.

  • At Two Rivers Veterinary Hospital, we understand that a CCL injury is a major life event for both you and your pet. We differentiate ourselves by offering a complete continuum of care under one roof—from the initial diagnostic imaging to advanced surgery, regenerative medicine, and long-term rehabilitation. We don't just perform a procedure and send you on your way; we partner with you through every stage of the recovery process.

    We also believe that high-quality care should be accessible and transparent. We offer treatment options tailored to a variety of medical needs and financial considerations, ensuring every pet has a path to comfort. To set our patients up for the best possible success, our TPLO surgical package is all-inclusive, featuring a Help-Em-Up® Harness for safe mobility and a post-op rehab package that includes your dog's first four Adequan® injections to jump-start joint health. Whether you are seeking conservative management with PRP, the mechanical stability of a TPLO, or the Gold Standard combination of surgery and stem cell therapy, Two Rivers is dedicated to giving your dog the best possible chance at a complete, pain-free recovery.

Book Your Consultation